CAD-CAM Soluzioni innovative per il laboratorio odontotecnico
Protesi dentali con tecnologia CAD/CAM
Il Laboratorio Odontotecnico Quartararo con sede a Palermo, utilizza la tecnologia CAD/CAM per progettare e produrre protesi dentali, quali corone, ponti, faccette e protesi su impianti. Il processo di produzione CAD/CAM all'interno del nostro laboratorio odontotecnico di solito inizia con una scansione digitale della bocca del paziente presa dal clinico in studio o di un modello in gesso dell'arcata dentale. Questa scansione tridimensionale viene acquisita utilizzando una telecamera intraorale o uno scanner 3D. I dati digitali ottenuti vengono quindi elaborati utilizzando software CAD specifici per la produzione di protesi dentali.
Tecnologia CAD/CAM
In grado di progettare e realizzare con l’ausilio del computer tutti gli elementi necessari per protesi e impianti dentali.
Nel software CAD, il laboratorio Quartararo lavora sul modello virtuale dei denti del paziente, 
progettando la forma e le dimensioni della protesi dentale desiderata. Questo processo consente di personalizzare la protesi in base alle esigenze e alle caratteristiche del paziente.
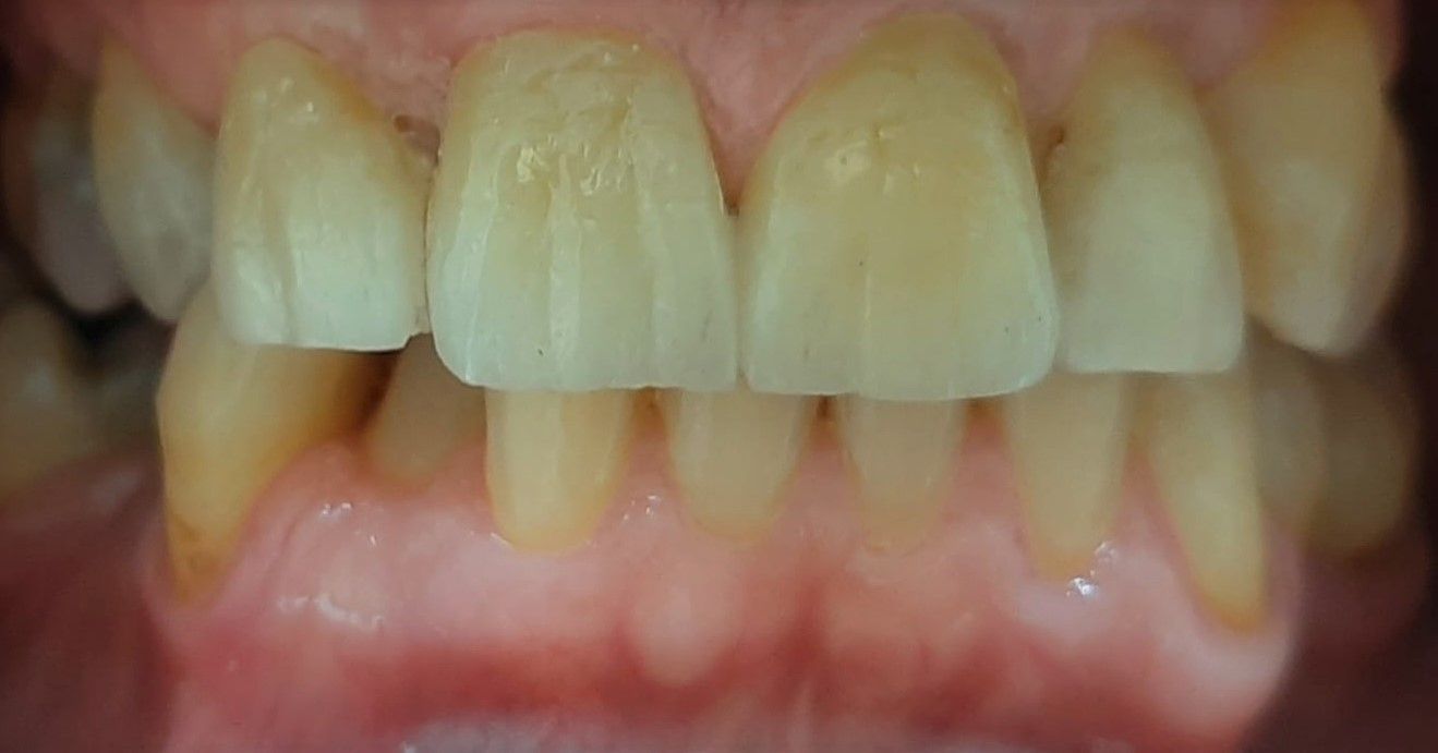
Protesi Fisse
Progettate per essere fissate saldamente alla dentatura residua o agli impianti dentali, offrendo una soluzione stabile e duratura per il ripristino della funzione masticatoria e dell'estetica del sorriso.
Se hai bisogno di protesi fisse, contatta il team del Laboratorio Odontotecnico Quartararo che potrà valutare la tua situazione specifica e consigliarti sulla soluzione protesica più appropriata per te.
Laboratorio Odontotecnico
Contatta il nostro Laboratorio
per prenotare una consulenza professionale   







